Απίστευτο και όμως πέρα για πέρα αληθινό.
Μια απίστευτη περιπέτεια ζει μια γυναίκα από τις Ηνωμένες Πολιτείες, η οποία πήγε να κάνει εγχείριση κήλης και κατέληξε με μια τρύπα στον… εγκέφαλο!
Δείτε επίσης : Σύνοδος Κορυφής: Ικανοποιημένος ο Μητσοτάκης ; «Θα υπάρξουν κυρώσεις αν δεν συμμορφωθεί η Τουρκία»
Η απίθανη περίπτωση δημοσιεύθηκε στο ιατρικό ημερολόγιο JAMA Otolaryngology – Head & Neck Surgery και αναφέρεται στον εγκεφαλικό τραυματισμό μιας γυναίκας που υποβλήθηκε σε ρινικό τεστ κορονοϊού πριν περάσει την πόρτα του χειρουγείου.
Προφανώς, εκείνος που έκανε το τεστ έβαλε την ειδική μπατονέτα πάρα πολύ βαθιά με αποτέλεσμα να δημιουργήσει μια μικρή τρύπα στον εγκέφαλο της άτυχης γυναίκας.
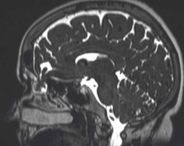
H ακτινογραφία της άτυχης γυναίκας

Η συνέχεια ήταν εφιαλτική. Μετά την επέμβαση, τα ρουθούνια της γυναίκας έτρεχαν διαρκώς, είχε μεαλλική γεύση στο στόμα, πονοκεφάλους, φωτοευαισθησία ενώ έκανε και εμετούς.
Οι γιατροί σε μια προσπάθεια να καταλάβουν τι ακριβώς συμβαίνει έβαλαν μια μικροκάμερα στη μύτη και ανακάλυψαν την τρομακτική αλήθεια.
Τα οστά του κρανίου στο σημείο εκείνο ήταν σπάσει ελαφρώς με αποτέλεσμα τα εγκεφαλικά υγρά να τρέχουν στην μύτη.

Το σημείο που έσπασε το οστό
Οι γιατροί είναι βέβαιοι πως το πρόβλημα προέκυψε αμέσως μετά το τεστ κορονοϊού ενώ για ευνόητους λόγους δεν δόθηκαν στην δημοσιότητα ούτε το όνομα της ασθενούς, ούτε όμως και του νοσοκομείου.
Πηγή: newsbomb.gr